torna alla pagina dei servizi >
Odontoiatria estetica

Più popolare che mai, l'odontoiatria estetica deve la sua crescente fortuna non solo all'allungamento della vita media e al desiderio sempre più diffuso di invecchiare con grazia, ma anche alla nuova voglia di bellezza che caratterizza la nostra epoca.
Le nuove tecniche odontoiatriche, tanto sofisticate nella sostanza quanto naturali nel risultato, possono ormai far durare un sorriso per sempre.

Faccette | Lumineers

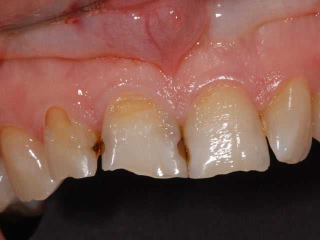
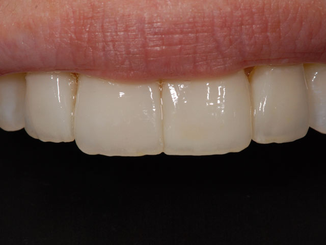
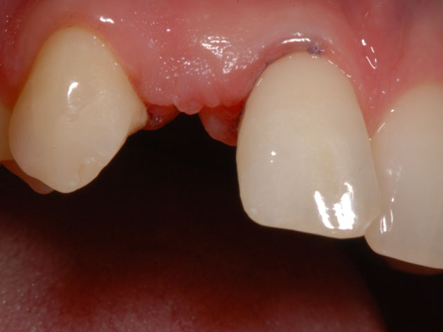
Le faccette dentali sono sottili lamine in ceramica traslucente molto sottili che vengono cementate in modo permanente sulla superficie dei denti anteriori con una tecnica adesiva. Il veneer di ceramica copre tutta la parte visibile del dente. Lo spessore medio delle faccette per i denti si aggira intorno ai 0.2-0.5 mm. Le faccette estetiche dentali sono tra i restauri meno invasivi, si rimuove solo dai 2 ai 3 decimi di millimetro dello smalto della superficie frontale del dente, e la parte limata viene rimpiazzata da sottilissime faccette in ceramica che si integrano in modo ottimale sia dal punto di vista estetico che biologico. In alcune situazioni si riesce addirittura ad aggiungere sottili strati di ceramica senza limare alcuna parte del dente (Additional Veneers).
Una volta che il medico completa la preparazione dei denti, si prende un'impronta dentale. Il paziente viene temporaneamente dimesso dopo la costruzione di faccette provvisorie in resina composita; le faccette provvisorie, proteggono il dente e simulano la forma ed il colore delle faccette in ceramica definitive.
Il laboratorio dentale costruisce le faccette in ceramica sul modello in gesso ricavato dall'impronta, utilizzando i provvisori come riferimento. In un appuntamento successivo, le faccette dentali sono provate nella bocca del paziente per valutare il colore, la forma e l'adattamento ai denti preparati. Una volta soddisfatti tali parametri, le faccette in ceramica sono cementate ai denti mediante l'utilizzo di cementi compositi aventi un colore uguale a quello del dente.
Le faccette dentali in porcellana hanno una varieta' d'indicazioni, si utilizzano su un dente fondamentalmente sano, ma con problemi estetici, tra i quali: denti malformati (conoidi, rettangolari) o dove esista la necessita' di trasformare la forma di un dente in un altro, otturazioni con difetti di colore, risultato del deterioramento di otturazioni bianche, denti fratturati, diastemi (spazio fra i denti), dove si applicano ai denti faccette di dimensione leggermente maggiore di quella della superficie di applicazione, in modo da riempire gli spazi vuoti denti che presentano difetti dello smalto, quali l'amelogenesi imperfetta, denti discromici (macchie permanenti) qualora il trattamento sbiancante sia risultato poco efficace, denti di pazienti adulti usurati a causa della funzione, quale risultato di processi erosivi: chimici (vomito da bulimia, abuso di bevande acide, quali limone o vari tipi di cola); meccanici (bruxismo, scorretto spazzolamento), denti con anomalie di posizione: denti ruotati o disallineati possono essere corretti con l'utilizzo delle faccette dentali, creando, cosi, un effetto di "ortodontia istantanea". In questi casi, le faccette estetiche dentali in ceramica sono la soluzione migliore per un risultato a lungo termine. La natura "vetrosa" della porcellana, infatti, ha la caratteristica di non subire pigmentazioni, a differenza dei materiali compositi.
Vantaggi e svantaggi
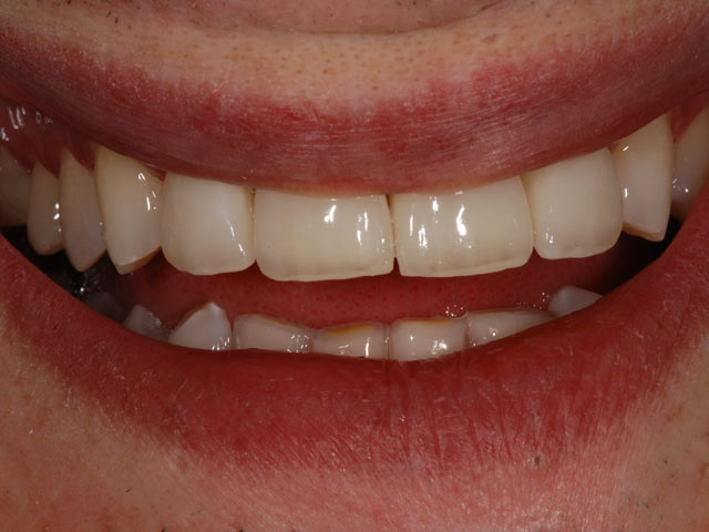
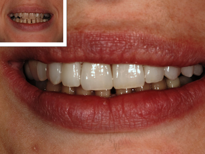
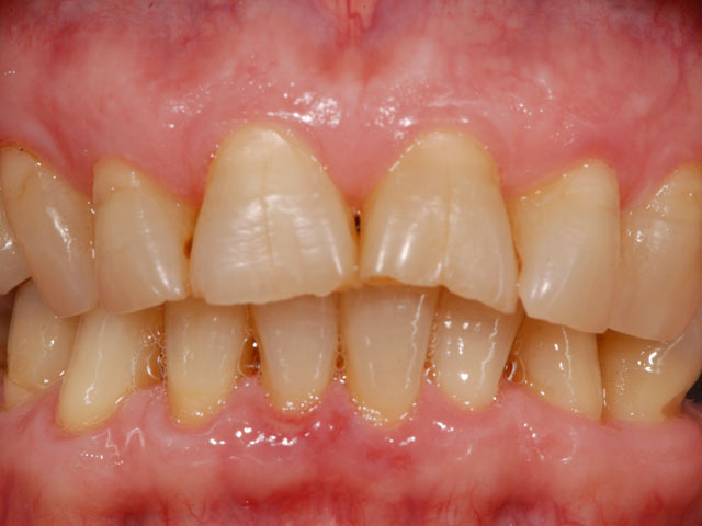
Le faccette dentali in porcellana richiedono una preparazione del dente estremamente conservativa e consentono il raggiungimento di un risultato estetico che non ha eguali con altri trattamenti. Paragonata ad una normale corona, la procedura e' molto meno traumatica per i denti, poiche viene sacrificata una quantita' molto minore di sostanza dentale. Inoltre, le faccette estetiche in ceramica sono durevoli nel tempo e resistenti alle forze masticatorie.
Una volta cementate al dente, rinforzano la struttura dentaria residua; il legame faccette-smalto dentale e' il piu' forte legame che si possa ottenere in odontoiatria con gli adesivi smalto-dentinali, le "colle" che mediano il legame dei materiali da restauro estetici con i tessuti dentari. Il loro punto forte e' pero' l'eccezionale estetica, molto superiore a quella di una corona realizzata su una cappetta di metallo. Al contrario di una corona metallo-ceramica, il bordo tra la sottile faccetta di ceramica ed il dente naturale e' praticamente invisibile, e non deve quindi essere posto sotto la gengiva.
Con le faccette non esiste il noto problema di irritazioni gengivali causato dalle corone, con conseguente retrazione delle gengive e visibilita' dei margini delle corone. Per i denti molto scuri, prima dell'applicazione delle faccette si consiglia un trattamento preliminare di sbiancamento, per evitare trasparenze di colore indesiderate.
Le faccette estetiche in porcellana rappresentano un eccellente trattamento in tutti i casi in cui si voglia migliorare forma, colore dei denti aumentando il piacere del paziente di sorridere liberamente. Le faccette sono la scelta giusta quando i denti frontali devono essere corretti nella loro forma. Correzioni di leggeri difetti di posizione, diastemi, di forma e di colore, possono essere realizzate con risultati estetici eccellenti.
Le faccette possono essere mantenute nel cavo orale per molto tempo se vengono seguiti gli appositi protocolli di fabbricazione da parte del dentista e di mantenimento da parte del paziente.



Corone All Ceramics

La corona serve a coprire la parte danneggiata del dente e a proteggere quella sana da ulteriori danni. Alle corone si ricorre dopo il trattamento di un canale, a seguito di una grossa otturazione, se un dente è rotto, decolorato, o inadeguato per forma e allineamento. Le corone sono fatte di diversi tipi di metallo, di porcellana o di una lega ceramico-metallica, sono solide e durano anni se vengono curate adeguatamente.





Sbiancamento

Oggi esistono vari sistemi che cambiano veramente il colore dei denti mediante mascherine notturne, oppure attivazioni con luce alogena o laser di varie sostanzen sbiancanti. Questi ultimi sono da eseguire presso lo studio del dentista. La procedura di sbiancamento professionale è davvero efficace: test clinici dimostrano che con questo processo sbiancante si ottiene mediamente un miglioramento del colore di nove gradi della scala colori "Vita" che i dentisti usano per stabilire i colori dei denti.

La bocca, come è noto, non serve solo per respirare e per l'assunzione dei cibi, ma è anche un organo di comunicazione che attira lo sguardo delle persone intorno a noi, rappresentando un vero e proprio "biglietto da visita" per una persona attraente e curata.
L'odontoiatria estetica si occupa delle terapie dentali con una particolare attenzione alla naturalezza dell'estetica del sorriso ed oggi questa esigenza è particolarmente avvertita nella vita di relazione in quanto un sorriso accattivante conquista ed influenza in modo decisivo la fiducia in se stessi.

La mancanza di uno o più denti, i difetti di tinta e forma, gli spazi indesiderati, gli affollamenti e le sovrapposizioni sono imperfezioni dentali che deturpano il sorriso e possono minare la sicurezza in se stessi nelle più varie forme di interazione sociale, soprattutto in quelle importanti quali un primo appuntamento, un colloquio di lavoro.

La moderna odontoiatria estetica, fiore all'occhiello del Dott. Patrizio Spediacci, può soddisfare il desiderio di avere denti belli e ringiovanirne il viso, cambiandone colore, forma e posizione, attraverso delle tecniche, di cui le più importanti sono:


Tutti i servizi


Visita Odontoiatrica e Diagnosi precoce

Corretta igiene orale

Odontoiatria conservativa

Endodonzia

Protesi fisse e mobili

Laser e Radiologia digitale

Odontoiatria Estetica

Implantologia

Paradontologia

Pedodonzia

Sedazione cosciente

Ortognatodonzia