torna alla pagina dei servizi >
Ortognatodonzia

L'ortognatodonzia è una branca dell'odontoiatria specializzata nella diagnosi, nelle prevenzioni e nel trattamento delle malocclusioni, composta da 2 fasi:

1^ FASE - ANALISI DI STUDIO CASO

l'ortodontista prima di stabilire qualsiasi tipo di terapia da effettuare al paziente, elaborerà un piano di trattamento personalizzato con una accurata analisi clinica ottenuta con lo studio di:

radiografie (ortopantomografia e teleradiografia)
fotografie (dei denti e del volto)
impronte


A seconda del caso possono essere necessari altri esami (tac, radiografie intraorali)



2^ FASE - APPARECCHI ORTODONTICI

Gli apparecchi fissi sono costituiti da attacchi in metallo o in ceramica che vengono applicati direttamente sui denti mediante resine adesive. Nelle fessure degli attacchi vengono inseriti degli archi i quali generano forze ortodontiche idonee a provocare il movimento dei denti.





PLACCA MOBILE

Gli apparecchi removibili sono realizzati dal laboratorio odontotecnico con materiali approvati
dalle norme europee. A garanzia di ciò sarà consegnato al paziente un certificato di conformità.

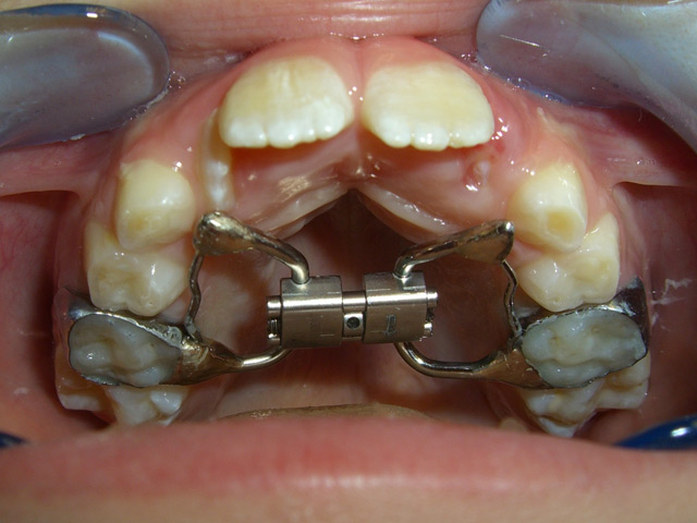
ESPANSORE PALATALE

L'espansore palatale è indicato in caso di insufficienza trasversale superiore (palato ogivale, morso crociato mono e bilaterale).




Tutti i servizi


Visita Odontoiatrica e Diagnosi precoce

Corretta igiene orale

Odontoiatria conservativa

Endodonzia

Protesi fisse e mobili

Laser e Radiologia digitale

Odontoiatria Estetica

Implantologia

Paradontologia

Pedodonzia

Sedazione cosciente

Ortognatodonzia